
Patiente qui vient pour une incisive qui descend et qui est meulée a chaque fois. le defi est de faire redescendre la gencive

Elle a en plus une forte demande esthetique cela concerne l' espace entre les incisives, la forme des dents, leur position

L'incisive est enlevée et remplacée immediatement par un implant et une couronne provisoire

Une couronne provisoire est posée sur l'autre incisive pour fermer les espaces. on voit trop de gencive sur l'incisive laterale droite

La gencive est remontée sur l'incisive laterale droite pour harmoniser les collets

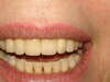
Un implant et 4 couronnes

Travail terminé