Cabinet dentaire dr FABOUMY
Implants Dentaires et soin des gencives -
Dentiste Paris 15
Accueil
Qui sommes nous
Cabinet en images
ACCÈS
URGENCES
English
Spanish
Nos spécialités
CAS TRAITES
Soins, hygiène et pathologies
Traitement des gencives
Prothèses dentaires
Implants dentaires
Dentisterie esthétique
Nos conseils
Livre d'or
Questionnaire Pré-RDV
Prendre RDV
Dr Marc Olivier FABOUMY
Dr Rachel BOUTROS
Dr Augustin SOULLIE
Dr Senda KHODJA
CONTACT
Accueil
Qui sommes nous
Cabinet en images
ACCÈS
URGENCES
English
Spanish
Nos spécialités
CAS TRAITES
Soins, hygiène et pathologies
Traitement des gencives
Prothèses dentaires
Implants dentaires
Dentisterie esthétique
Nos conseils
Livre d'or
Questionnaire Pré-RDV
Prendre RDV
Dr Marc Olivier FABOUMY
Dr Rachel BOUTROS
Dr Augustin SOULLIE
Dr Senda KHODJA
CONTACT
Cabinet dentaire dr FABOUMY
Implants Dentaires et soin des gencives -
Dentiste Paris 15
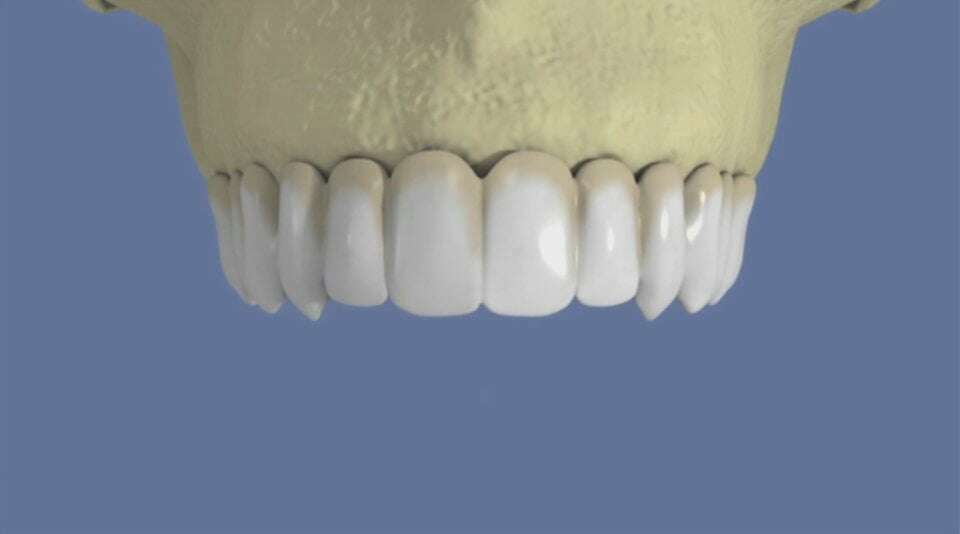
Maxillaire : bridge vissé sans fausse gencive
Vidéos 3D
Partager
Twitter
Partager
Partager
Envoyer
Copier
Cabinet dentaire dr FABOUMY
204 rue de la Croix Nivert
75015
Paris
+33 1 40 60 64 04
Politique de confidentialité et charte cookie
Mentions légales
Conditions Générales Utilisation
Charte déontologique
Ordre national
Annuaires chirurgiens dentistes
Hygiène & Asepsie
Honoraire & remboursement
Création par
Connexion